17 أبريل، 2026

الشرق الأوسط نيوز

آخر الأخبار تعرفونها فقط وحصرياً على الشرق الأوسط نيوز موقع اخباري شامل يدور حول العالم

متلازمة ( آدم حكيم)

 

كتبت-انجى ماهر

 

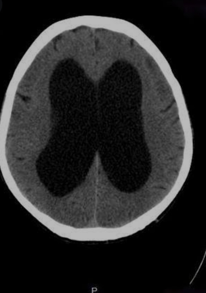
متلازمة ( آدم حكيم ) أو الإستسقاء المخي دون إرتفاع ضغط المخ هي أحد الأمراض التي تؤثر علي المخ في كبار السن وتعد تحديا حقيقيا لجراحي المخ والأعصاب في التشخيص والعلاج.

 

و سبب الصعوبة في التشخيص يرجع إلي تشابه أعراض هذا المرض مع عته الشيخوخة التقليدي..

 

تتكون هذه المتلازمة من أعراض ثلاثة أساسية وهي:

 

1-صعوبة في المشي

2-صعوبة التحكم في البول

3-اضطرابات تشبه اضطرابات الشيخوخة (عته أو خرف الشيخوخة).

 

وجود هذه الأعراض مع تغيرات في الأشعة المقطعية علي المخ يشير بشدة إلي متلازمة ( آدم حكيم) والتي تستجيب بشدة للجراحات المخفضة لضغط المخ (بالرغم من أن ضغط المخ لا يكون مرتفعا) مثل تركيب الصمام المخي البريتوني.

 

إلا أن التحدي الحقيقي في التفرقة بين هذه الأعراض و أعراض عته الشيخوخة التقليدي والتصدي لإجراء جراحة بالمخ في سن متقدمة .