19 أبريل، 2026

الشرق الأوسط نيوز

آخر الأخبار تعرفونها فقط وحصرياً على الشرق الأوسط نيوز موقع اخباري شامل يدور حول العالم

أنواع الأمراض الجلدية مع الدكتورة لبيبة الجنيدى

أنواع الأمراض الجلدية مع الدكتورة لبيبة الجنيدى

تقرير – رباب عنان

نبذة عن الدكتورة لبيبة الجنيدي٠٠

استشاري الامراض الجلديه والتناسلية والجذام
مدير مستشفى الجلدية والجذام بالمنصورة
عضو اتحاد كتاب مصر

والمنسق الإعلامي للجنة القيم والتسامح المجتمعي في نقابة اتحاد الكتاب
مشاركات فعالة في مؤتمرات الجلدية والتجميل

ومؤتمرات أدبية وثقافية مثل مؤتمر الشعر العربي ومؤتمر السيناريو في اتحاد الكتاب في مصر

ولها 5 اصدارات أدبيةوهم ٠٠
يوميات امراه رومانسيه…. الشرنقة… حواديت الفرن….انثي استثنائية…

مرآة الجسم…
وكلها شاركت في معرض الكتاب الدولي في القاهره علي مدي خمس سنوات….

وتشرفت بتكريم من محافظ الدقهلية وذلك لفوز مستشفى الجلدية والجذام بالمنصورة بالمركز الثالث في مسابقة مؤتمر شرم ديرما العالمي للاستاذ الدكتور عاصم فرج في شهر مارس 2022

تقول الدكتورة لبيبة فى حوارها٠٠

تختلف الأمراض الجلدية التي تصيب الأفراد من حيث الأعراض المصاحبة لها وشِدتها ومدى استمراريتها

فبعضها قد يكون مؤقتًا، والبعض الآخر يستمر مدى الحياة، وفي حين أنّ معظم الاضطرابات التي تُصيب الجلد بسيطة،

فإنّ بعضها الآخر يشير إلى وجود مشكلة خطِرة يستدعي مراجعة الطبيب المختص على الفور.

ومن أبرز الأمراض التي قد تُصيب الجلد حب الشباب٠٠

٩

يُصاحب الإصابة بحب الشباب (Acne vulgaris) ظهور البثور والرؤوس السوداء والخراجات في أجزاء مختلفة من البشرة

بما في ذلك الوجه والظهر والصدر، والتي تحدث نتيجة التغيرات الهرمونية في الجسم وانسداد بصيلات الشعر والغدد الدهنية الموجودة في الجلد

وبالرغم من كونه مصدر قلقٍ للكثير من المراهقين
فإنَّ احتمالية إصابة البالغين بحب الشباب مرتفعة أيضًا
إذْ يصنّف حب الشباب كأكثر اضطرابات الجلد شيوعًا بين الأفراد.

التقرن الشعري٠٠

تعدّ حالة التقرن الشعري أو تقرن الجريبات الشعرية (Keratosis pilaris) من الحالات البسيطة التي قد يُسفر عنها ظهور نتوءات صغيرة وخشنة على سطح الجلد

لا سيما على الذراعين أو الفخذين أو الخدين
بحيث تكون هذه النتوءات حمراء أو بيضاء اللون

كما أنها تكون غير مؤلمة ولا تُثير الحكة
وغالبًا ما تظهر هذه المشكلة جرَّاء حدوث عدوى
أو ضعف الجهاز المناعي
أو التعرض لعوامل مهيّجة معينة

الإكزيما٠٠

تُعرّف الإكزيما (Eczema) على أنها حالة مرضية تلتهب فيها بقع محددة من الجلد

بحيث تتشقق وتصبح خشنة الملمس، ليصاحب ذلك الشعور بالحكة

كما يمكن أن تسبب بعض أنواع الإكزيما ظهور البثور على الجلد

ويُعزى سبب ظهور الإكزيما غالبًا إلى اجتماع بعض العوامل الجينية والبيئية
ولكنّ أسباب ظهورها بالتحديد غير معروفة تمامًا.

ومن أنواع الإكزيما٠٠

التهاب الجلد التماسي أو إكزيما التماسّ (Contact dermatitis)

الذي يُعدّ واحدًا من أكثر المشكلات الجلدية شيوعًا بين الأفراد الذين يمتهنون مهنًا معيّنة

فهي غالبًا ما تحدث جرَّاء تلامس الجلد مع مركبات كيميائية أو مواد مهيجة متوفرة في بيئة العمل

ليتسبب ذلك في التهاب الجلد واحمراره
وأغلب الحالات لا تكون بالغة الخطورة لكنّها قد تُسبّب الحكة الشديدة.

التهاب الجلد المثّي أو الدهني (Seborrheic dermatitis)٠٠

وهو من انواع الإكزيما المزمنة
ويمكن إيضاح علامات ظهوره وفقًا للمرحلة العمرية كما يأتي٠٠

الأطفال٠٠

ويُعرف عندئذٍ باسم قبعة المهد أو القبعة الدهنيّة
حيث يُصاحبها ظهور بقع دهنية متقشرة على سطح الجلد
لا سيما فروة الرأس

وهي غير ضارة في الغالب، وتختفي عادةً من تلقاء نفسها مع الوقت.

البالغون٠٠

قد يظهر هذا الالتهاب في أي جزء من جسم الشخص البالغ، كما قد يستمر وجوده مدى الحياةِ أو يختفي دون عودةٍ

وعادةً ما يظهر على صورة جلد متورم ودهني، محمرّ اللون، مع وجود قشرة بيضاء إلى صفراء اللون على سطح الجلد.

الصدفية٠٠

تعدّ الصدفية (Psoriasis) مرضًا جلديًّا شائعًا
وهي الحالة التي ينجم عنها ظهور بقع حمراء سميكة الملمس على البشرة
وتكون مغطاة بقشور فضية، وهي غير مُعدية

أي لا تنتقل من شخص لآخر، ورغم عدم معرفة العلماء السبب الأساسي الذي يُثير ظهور الصدفية في الجسم
يبدو أنَّها غالبًا تحدث نتيجة اختلال رد الفعل المناعي في الجسم.

الوردية٠٠

توصف الوردية (Rosacea) بأنها الحالة التي يُصاحبها ظهور تورم في منطقة الوجه

واحمرار لون الجلد وظهور البثور
بالتزامن مع بروز الأوعية الدمويّة
ومن الممكن إصابة كلا الجنسين بالوردية

لكنّها أكثر شيوعًا بين النساء اللواتي تتجاوز أعمارهنّ 30 عامًا
والتي تعزى أسباب حدوثها إلى اضطرابات الجهاز المناعي، أو وجود مشاكل في الأوردة، أو جراء التعرض لظروف بيئية محيطة.

الشامات٠٠

تظهر الشامات (Moles) على صورة بقع بنية صغيرة الحجم وداكنة اللون

بحيث تنتج عن تجمع الخلايا الصبغيّة
والتي تظهر عادةً خلال مرحلة الطفولة والمراهقة

ويُشار إلى أنَّ مُعظم الأشخاص قد تظهر على أجسامهم حوالي 10-40 شامة
والتي غالبًا ما يتغير مظهرها أو تختفي مع مرور الوقت.

مرض الذئبة٠٠

تعد الذئبة (Lupus) من أمراض المناعة الذاتية
التي تحدث نتيجة فرط نشاط الجهاز المناعي في الجسم، ليهاجم الأنسجة السليمة فيه

إذْ يصاحب هذه الحالة ظهور أعراض الالتهاب والتورم على سطح الجلد.

البهاق٠٠

قد يظهر البهاق (Vitiligo) في أيْ جزء من أجزاء الجسم، إلا أنّه يظهر غالبًا في كل من الوجه والعنق واليدين

بالإضافة إلى منطقة تجاعيد الجلد
وتتصف هذه الحالة المزمنة بظهور بقع بيضاء اللون وشاحبة المظهر على طبقة الجلد الخارجية

ويعزى السبب في ذلك إلى نقص صبغة الميلانين في البشرة.

الثعلبة٠٠

البقعية السبب الرئيسي وراء ظهور الثعلبة البقعية (Alopecia areata) غير معروف

ولكن يرجح أنّها حالة تنتج جرّاء مهاجمة الجهاز المناعي لبصيلات الشعر
وبالتالي فإن نمو الشعر سيتوقف ويصبح أكثر عرضةً للتساقط

وعادةً ما تتسبب الثعلبة البقعية في ظهور بقع صلع صغيرة الحجم ومستديرة الشكل

والتي يمكن أن تصيب الشعر الموجود في أي جزءٍ من الجسم
بما في ذلك الرأس، واللحية، والحاجبين، ورموش العين.

أمراض جلدية ناتجة عن عدوى بكتيرية٠٠

قبل تفصيل الحديث عن أنواع الأمراض الجلدية الناجمة عن عدوى بكتيرية نُشير إلى أهمية مراجعة الطبيب فور الشك بالإصابة بأي منها

ومن أبرز الأمثلة عليها الجمرة: (Carbuncle)٠٠

تتصف هذه الحالة بظهور مجموعة من الدمامل نتيجة حدوث عدوى بكتيرية تحت الجلد

أيْ في بصيلات الشعر، وبالتالي يُصاحبها شعور بألم وزيادة حساسية الجلد

كما أنّها قد تسبب التهابًا شديدًا يترك ندبة على البشرة.

التهاب النسيج الخلوي (Cellulitis)٠٠

يحدث هذا الالتهاب نتيجة عدوى بكتيرية تظهر في البداية كمنطقة حمراء متورمة على سطح الجلد
وقد يشعر الشخص بالحرارة عند لمسها، ويمكن لهذه الأعراض أن تنتشر بسرعة في أنحاء الجسم.

القوباء أو الحصف(Impetigo)٠٠

تحدث هذه الحالة المُعدية عندما تتعرض البشرة لعدوى البكتيريا الكروية العنقودية

(باللاتينية: Staphylococcus aureus)
الذهبية أو المكورة العقدية المقيحة (باللاتينية: Streptococcus pyogenes)

وبالرغم من أنها تصيب أي فئة عمرية
إلا أنها شائعة عند الأطفال الذي تتراوح أعمارهم ما بين 2-5 سنوات

كما يعدّ الوجه والذراعين والساقين أكثر الأجزاء تأثرًا بهذه العدوى

وغالبًا ما تبدأ في الجروح والتشققات الموجودة في الجلد، إلا أنّها قد تُصيب أيضًا الجلد السليم.

أمراض جلدية ناتجة عن عدوى فيروسية يوجد العديد من الأمراض الجلدية التي قد تنجم عن الإصابة بعدوى فيروسية

وفي الآتي أبرزهاالحصبة(Measles)٠٠

على الرغم توفر لقاح آمن وفعال لهذه الحالة
إلا أنها لا تزال موجودة وقد تُسبب مضاعفات حقيقية في بعض أفراد دول العالم

وتبدأ الإصابة في الجهاز التنفسي، وتظهر أعراضها لأول مرة خلال 10-12 يومًا من التعرض للفيروس

ومن هذه الأعراض٠٠

السعال. الحمى. سيلان الأنف.
احمرار العينين. احتقان الحلق. ظهور بقع بيضاء داخل الفم.

الهربس النطاقي: (Shingles)٠٠

الذي يحدث نتيجة الإصابة بفيروس الحماق النطاقيّ المسؤول عن الإصابة بجدريّ الماء

حيث تظهر أعراض الهربس المنطقي عادةً على صورة شريط من البثور في أحد جانبيّ الجسم

عادةً على الجذع، أو العنق، أو الوجه، ويكون هذا الطفح الجلدي في مُعظم الحالات محمرًّا ويُثير الألم والشعور بالحرقة.

الثآليل أو عين السمكة٠٠

٠

يظهر الثؤلول (Wart) على صورة نموّ صغير ذي قوامٍ خشِن، قد يُلاحَظ في أيْ جزء من أجزاء الجسم

كما يعتمد شكله على موقع ظهوره على البشرة
ومدى سماكة الجلد فيه

ويُعزى سبب ظهور الثآليل إلى تعرض الشخص لفيروسات الورم الحليمي البشري (HPV).

قروح البرد٠٠

تعرف قروح البرد (Cold sore) أيضًا باسم بثور الحمى أو هربس الشفة

وتتمثل بكونها بثورًا صغيرة الحجم ومثيرة للألم
بحيث تحدث نتيجة تعرض الشخص لفيروس الهربس البسيط

كما أنّ حوالي 90٪ من الناس في مختلف أنحاء العالم يمتلكون شكلًا واحدًا على الأقل من هذا الفيروس.

أمراض جلدية ناتجة عن عدوى فطرية من الأمراض الجلدية التي قد تحدث جراء الإصابة بعدوى فطرية

ما يأتي داء المبيضات٠٠

تعدّ المبيضات (Candida) تعيش هذه الفطريات بشكلٍ طبيعي على الجلد وفي أجزاء أخرى من الجسم
كالفم والحلق والأمعاء والمهبل

ولكنّ أحد أنواعها المعروف باسم المُبْيَضَّة البيضاء قد يسبب العدوى والالتهاب في حالة فرط تكاثره ونموّه

وربما يؤدي إلى مضاعفات أكثر خطورة في حالة دخوله إلى مجرى الدم أو الأعضاء الداخلية
بما في ذلك الكلى أو القلب أو الدماغ.

القدم الرياضي٠٠

تعدّ عدوى القدم الرياضي (Athlete’s foot) من أنواع العدوى الفطرية الشائعة التي تُصيب القدمين

والتي يُمكن الحدّ من تفاقمها وعلاجها باستخدام الكريمات أو البخاخات المتوفرة في صيدليات المجتمع

وذلك بعد الحصول على استشارة من الطبيب المختصّ، ولكنْ قد يتكرر ظهورها لدى بعض الأشخاص لوجود أسباب وعوامل مختلفة.

أمراض جلدية تصيب الكبار يتعرض الجلد لمجموعة من التغيرات مع تقدّم العمر

إذ يعتمد مقدار التغيّر الحادث على عدة عوامل
منها نمط الحياة والنظام الغذائي

بالإضافة إلى عوامل الوراثة ومدى تعرّض الشخص للإجهاد وأشعة الشمس
وقد تساهم هذ العوامل في ظهور الأمراض الجلدية عند الكبار

مثل التقران المثي٠٠

يظهر التقران المثي أو التقرن الدهنيّ (Seborrheic Keratosis) أو الثؤلول المثّي على صورة نموّ غير ضار على الجلد

والذي يكون لونه في مُعظم الأحيان بنيًّا، ولكنه قد يظهر باللون الأصفر أو الأبيض أو الأسود

لذلك قد يكون من الصعب التمييز بين التقران المثي والورم الميلانيني

لذلك يُنصح بالتوجه إلى الطبيب عند ملاحظة حدوث أي تغير مفاجئ على البشرة

ويُشار إلى أنَّ هذه الحالة تظهر غالبًا مع تقدم العمر.

البقع العمرية(Age spots)٠٠

تعرف بالبقع الكبدية أو نمش الشيخوخة
وتظهر بشكلٍ خاص في الأجزاء الأكثر عُرضة لأشعة الشمس

كما تتصف بكونها بقعًا مسطحة، تظهر باللون البني أو الرمادي أو الأسود.

أمراض جلدية أخرى إضافةً إلى ما سبق، توجد بعض الأمراض أو المشكلات التي قد تظهر على الجلد

ومنها ما يأتي الورم الوعائي الدموي٠٠

يظهر الورم الوعائي الدموي (Hemangioma) كوحمة حمراء زاهية اللون عند الولادة

أو خلال الأسبوعين الأول والثاني من حياة الطفل
حيث يبدو الورم بهيئة نتوء مطاطيّ يتكون من أوعية دموية إضافية على سطح الجلد

كما أنه قد يظهر في أيّ جزءٍ من جسم الطفل
ولكنّه غالبًا ما يتكون على الوجه
أو فروة الرأس، أو الصدر والظهر.

الورم الميلانيني الورم الميلانيني (Melanoma)٠٠

ويعرف أيضًا بسرطان الخلايا الصبغية، حيث يعد من أنواع سرطانات الجلد نادرة الحدوث

التي تتطور في الخلايا الصبغية المسؤولة عن إنتاج صبغة الميلانين في البشرة

وغالبًا ما يظهر هذا النوع من السرطان في العينين
أو داخل الجسم؛ كالأنف والحلق.

كيفية علاج الفطريات الجلدية٠٠

عادةً ما يكون علاج العدوى الفطرية (بالإنجليزية: Fungal infection) بسيطًا

علمًا أنّ مدة العلاج تعتمد على نوع العدوى الفطرية التي يُعاني منها المصاب ومدى شدتها

وما إذا كان لديه أي اضطرابات صحية أخرى كاضطربات الجهاز المناعي

وفي سياق حديث دكتورة لبيبة٠٠

يجدر التنويه إلى أنّ بعض الحالات الصحية قد تحتاج إلى استخدام المضادات الفطرية لفترة زمنية طويلة قد تصل إلى 8 أسابيع

كما هو الحال في علاج عدوى سعفة فروة الرأس (بالإنجليزية Ringworm of the scalp)

في حين أنّ مدة العلاج قد تكون قصيرة في بعض الحالات كما هو الحال في علاج السلاق المهبلي (بالإنجليزية Vaginal thrush) الذي يستغرق بضعة أيام.

وفي الحقيقة تتوفر الأدوية المضادة للفطريات (بالإنجليزية Antifungal medications)
كعلاجات تُصرف دون وصفة طبية

حيث يمكن للشخص المصاب بعدوى فطرية في الجلد استخدام مضادات الفطريات التي تصرف دون وصفة طبية

ولكن قد تستدعي بعض الحالات الشديدة أو المتكررة

مراجعة الطبيب ليصف بعض مضادات الفطريات ذات الفعالية الأقوى والتي تستخدم بوصفةٍ طبية

علمًا أنّ مضادات الفطريات تعالج الالتهابات الفطرية من خلال قتل الفطريات بشكل مباشر، أو منعها من النمو والتكاثر

ويتوفر من هذه الأدوية عدة أشكال صيدلانية، وفيما يأتي بيانها٠٠

مضادات الفطريات الموضعية (بالإنجليزية: Topical antifungals)٠٠

مثل الكريمات، أو السوائل، أو البخاخات،

حيث تستخدم لعلاج الالتهابات الفطرية التي تؤثر في الجلد وفروة الرأس والأظافر، وتتضمن الكلوتريمازول (بالإنجليزية Clotrimazole)

الإيكونازول (بالإنجليزية: Econazole)،
الكيتوكونازول (بالإنجليزية: Ketoconazole)،

الميكونازول (بالإنجليزية: Miconazole)
التيوكونازول (بالإنجليزية: Tioconazole)

التيربينافين (بالإنجليزية: Terbinafine)
والأمورولفين (بالإنجليزية: Amorolfine).

مضادات الفطريات الفموية٠٠

حيث تتضمن الحبوب أو الأقراص المضادة للفطريات التي تؤخذ عن طريق الفم

وتستخدم لعلاج العديد من الالتهابات الفطرية
ويعتمد نوع الدواء المستخدم على نوع العدوى التي يُعاني منها المصاب

ومن الأمثلة عليها التيربينافين٠٠

والإتراكونازول (بالإنجليزية: Itraconazole) والفلوكونازول (بالإنجليزية: Fluconazole)

والبوساكونازول (بالإنجليزية: Posaconazole) والفوريكونازول (بالإنجليزية: Voriconazole).

الحقن المضادة للفطريات٠٠

إذ يتم استخدام الحقن في حال معاناة المُصاب من عدوى فطرية خطيرة داخل الجسم

وتتضمن الأمفوتريسين (بالإنجليزية: Amphotericin) الفلوسيتوزين (بالإنجليزية: Flucytosine)

الإيتراكونازول، الفوريكونازول، الأنيدولافونجين (بالإنجليزية: Anidulafungin)

الكاسبوفونجين (بالإنجليزية: Caspofungin)
والميكافونجين (بالإنجليزية: Micafungin).

الشامبو المضاد للفطريات٠٠

حيث يُستخدم لعلاج الالتهابات الفطرية التي تؤثر في فروة الرأس

وبعض الحالات الجلدية
مثل الشامبو الذي يحتوي على الكيتوكونازول.

التحاميل المهبلية (بالإنجليزية: Pessary)٠٠

وهي عبارة عن أقراص مصممة لوضعها في المهبل لعلاج فطريات المهبل
وتتضمن الكلوتريمازول، والإيكونازول، والميكونازول، والفينتيكونازول (بالإنجليزية: Fenticonazole).

نصائح وإرشادات الدكتورة لبيبة٠٠

يمكن اتباع بعض الإرشادات المنزلية إلى جانب أخذ مضادات الفطريات التي تُصرف دون وصفة طبية
للمساعدة على التخلص من العدوى الفطرية

وفيما يأتي بيان هذه الإرشادات٠٠

ارتداء ملابس فضفاضة من القطن لتجنب تعريض الجلد للرطوبة.

تجفيف المنطقة المصابة بشكلٍ جيد بعد الاستحمام،
خاصةً ثنايا الجلد.

الحرص على غسل الملابس والمفارش والمناشف الخاصة بالمصاب، لمنع انتقال العدوى الفطرية للآخرين.

الحرص على إبقاء أظافر القدم قصيرة في حال معاناة المصاب من العدوى الفطرية في أظافر القدم

بالإضافة إلى الحرص على جفاف القدمين
وارتداء أحذية وجوارب قطنية جيدة التهوية

وتغييرها بشكلٍ يومي الابتعاد عن الحيوانات التي تظهر عليها علامات العدوى الفطرية
مثل فقدان الفِراء أو خدش نفسها بشكلٍ متكرر.

مسح الأسطح المشتركة مع الآخرين، كمعدات الرياضة في الصالات الرياضية.

دواعي مراجعة الطبيب تُعدّ مضادات الفطريات الموضعية التي لا تحتاج إلى وصفة طبية الخيار الأول لعلاج العدوى الجلدية الفطرية الخفيفة

ولكن قد يحتاج المصاب إلى مراجعة الطبيب
حيث قد يُجري الطبيب بعض الفحوصات لتشخيص المصاب بشكلٍ صحيح

وفي بعض الحالات قد يصف للمريض أدوية مضادة للفطريات عن طريق الفم

أو الكورتيكوستيرويدات (بالإنجليزية Corticosteroids) المضادة للالتهابات

وفيما يأتي بيان الحالات التي تستدعي مراجعة الطبيب٠٠

ظهور بعض الآثار الجانبية لاستخدام مضادات الفطريات غير الموصوفة طبيًا.

عدم معرفة فيما إذا كانت العدوى فطرية أم لا.

عدم تحسن الأعراض بعد مدة العلاج الموصى بها والتي تتراوح عادةً بين 2-4 أسابيع.

مرضى السكري أو المصابين بأمراض المناعة، إذ يجدر بهم مراجعة الطبيب قبل البدء باستخدام أي علاج مضاد للفطريات.

علاج فطريات اليد٠٠

شرب أكثر من ثمانية أكواب من الماء حتى تزيد كمية التبول، وبالتالي تخلّص من السكر الزائد الذي تتغذى عليه الفطريات

ويُفضل أن يكون الماء مفلتراً ونقيّاً من الشوائب كزجاجات المياه المعدنيّة.

الإكثار من شرب عصير التوت البري غير المُحلى، ويُفضل عدم مزجه مع الفواكه الأخرى

فهو يحتوي على نسبة عالية من مضادات الأكسدة التي تقضي على الفطريات والجراثيم.

هرس الثوم ومزجه مع القليل من العسل الطبيعي
ودهن اليدين مرة في الصباح وأخرى في المساء.

تناول الأطعمة والأكلات غير المطهوّة كثيراً.

الإكثار من تناول الخضروات الطازجة والنظيفة.

تقليل تناول الأسماك المشويّة. تجنّب الإكثار من الحلويات والسكريات.

دهن المناطق المصابة بزيت شجرة الشاي، حيث يعتبر من أفضل العلاجات الطبيعيّة لفطريات اليدين والقدمين

ويكون إمّا بدهن المنطقة المصابة به لوحده
وإما بمزجه مع زيت الزيتون.

وضع اليدين في إناء واسع فيه كوب من الخل
وكوبين من الماء الفاتر لمدة عشرين دقيقة من مرتين إلى ثلاث مرات أسبوعياً

ويمكن أيضاً إضافة ملعقة من الملح الخشن، وفص من الثوم المهروس
ثمّ تجفيف اليدين جيداً.

استعمال زيت الأوريغانو الذي يتمتع بخصائص مطهرة ومضادة للطفيليات، والفطريات، والجراثيم

إضافة إلى أنّه يُسكّن الألم ويُخففه، ويتم استعماله بخلط قطرتين منه مع ملعقة كبيرة من زيت الزيتون

ثمّ دهن اليدين بالمزيج الناتج، وتركه عليها مدة ثلاثين دقيقة تقريباً

ويتم تكرار عمل ذلك مرتين يومياً مدة ثلاثة أسابيع حتى تختفي الفطريات.

علاج الفطريات ببيكربونات الصودا٠٠

فهي تتمتع برائحة نفاذة وفعالة في التخلص من البكتيريا والطُفيليات

ويكون بدهن المكان اليدين عند مزجها بالقليل من الماء الفاتر.

شرب الحبوب التي تعالج الفطريات، وهي من أكثر الطرق الفعالة والسريعة، ويكون ذلك باستشارة طبيّة.

كيفية علاج فطريات الأظافر٠٠

حقيقةً من الصعب أن تُشفى فطريات الأظافر(بالإنجليزية: Nail fungus) وحدها دون استخدام العلاج

ومع ذلك قد لا يكون استخدام العلاج في بعض حالات فطريات الأظافر البسيطة ضروريًّا

في حين أنّ حالات التهابات الأظافر الفطرية الشديدة أو المزعجة تتطلّب استخدام بعض العلاجات
مثل مضادات الفطريات (بالإنجليزية: Antifungal)

وتجدر الإشارة إلى أنّ بعض المصابين قد يقرّرون عدم استخدام العلاجات

إمّا بسبب طول فترة العلاج أو لأنّ المُصاب لا يشعر بأي ضيق من الفطريات
الأمر الذي قد يتسبّب بالمعاناة من العديد من الآثار الجانبية، وكما ذُكِر سابقًا قد لا يكون فعّالاً

وفي الواقع يُمكن استخدام بعض الأدوية التي تُصرف بدون وصفة طبيّة لحالات فطريات الأظافر

ومع أنّ هذه الأدوية تُعتبر زهيدة الثمن، إلّا أنّها قد لا تكون كافية للقضاء على الفطريات

كما أنّ الفطريات قد تعاود الظهور مرّة أخرى بعد علاجها، وفي هذه الحالة يجب اللجوء إلى استخدام علاج آخر

ومن الجدير الذكر أنّه عادةً ما تكون الفترة الزمنية لعلاج فطريات أظافر اليدين أقل من تلك التي تحتاجها فطريات أظافر القدمين.

تتعدّد العلاجات الدوائية التي يمكن استخدامها لعلاج فطريات الأظافر

وقد تتواجد هذه العلاجات على شكلين؛ هما العلاج الموضعي والعلاج الفموي٠٠

وقد تتطلّب بعض الحالات استخدام شكل واحد من العلاجات
في حين قد تتطلب حالات أخرى استخدام الشكلين معًا من أجل القضاء على فطريات الأظافر

العلاجات الموضعية يتم استخدام العلاجات الموضعية للتخلص من فطريات الأظافر حالتين فقط

الأولى أن يكون المصاب غير قادر على تناول مضادات الفطريات الفموية

والثانية أن تكون العدوى الفطرية منتشرة على مساحة أقل من نصف مساحة الظفر

ويمكن القول أنّ استخدام العلاجات الموضعية محدودًا وذلك لعدم تمكّن هذه العلاجات من الوصول للأماكن العميقة من الظفر

كما أنّها غالبًا ما تكون غير كافية لعلاج الفطريات في حال استخدامها وحدها
لذلك يفضل استخدامها جنبًا إلى جنب مع مضادات الفطريات الفموية

ومن الأمثلة على العلاجات الموضعية المستخدمة في علاج فطريات الأظافر ما يأتي٠٠

طلاء الأظافر الطبي (بالإنجليزية: Medicated nail polish).

كريم الأظافر الطبي (بالإنجليزية: Medicated nail cream).

مضادات الفطريات الفموية تعتبر مضادات الفطريات الفموية الخيار الأول في علاج فطريات الأظافر

وذلك كونها أكثر فاعلية من العلاجات الموضعية
وتكمن طريقة عملها في استبدال الظفر المصاب بالعدوى الفطرية بظفر جديد سليم

وفي الواقع قد تستغرق الفترة الزمنية للعلاج من 6 أسابيع إلى 12 أسبوعًا وقد تصل لأربعة أشهر

ويمكن ملاحظة النتيجة النهائية للعلاج عند نمو ظفر كامل جديد غير مصاب بالفطريات

ومن الجدير بالذكر أنّ نسب الشفاء للمصابين الذي يستخدمون هذه الأدوية والذين يبلغون 65 عامًا من العمر فأكثر تكون منخفضة

كما قد يوصي الطبيب بعدم استخدام هذه الأدوية من قبل الحوامل

أو ممن يعانون من بعض الحالات الطبية كأمراض الكبد وفشل القلب الاحتقاني (بالإنجليزية Congestive heart failure)

وكذلك مستخدمي بعض الأدوية الأخرى
ويمكن الإشارة إلى العديد من مضادات الفطريات الفموية الحاصلة على موافقة إدارة الغذاء والدواء

(بالإنجليزية Food and drug administration) لاستخدامها لعلاج فطريات الأظافر فيما يأتي٠٠

تيربينافين (بالإنجليزية: Terbinafine).
غريزيوفولفين (بالإنجليزية: Griseofulvin).

فلوكونازول (بالإنجليزية: Fluconazole).
ايتراكونازول (بالإنجليزية: Itraconazole).

العلاج المركب٠٠

تشير الدراسات إلى أن استخدام علاج واحد للتخلص من فطريات الأظافر في بعض الحالات قد لا يكون كافيًا للشفاء

لذلك ينصح هنا باستخدام العلاج المركّب (بالإنجليزية Combination therapy)٠٠

وهو عبارة عن استخدام مضادات الفطريات الفموية والعلاجات الموضعية في آن واحد.

العلاج بالليزر يمكن أن يتم استخدام العلاج بالليزر بما في ذلك N:YAG laser للقضاء على الفطريات

إذ يعتقد أنّ أشعة الليزر التي تنبعث من الأشعة تحت الحمراء تقضي على الفطريات

عن طريق إنتاج الحرارة داخل الأنسجة المُصابةوفي الواقع وافقت منظمة الغذاء
والدواء العالمية وبعض المنظمات الأخرى على استخدام

بعض أنواع الليزر لعلاج فطريات الأظافر٠٠

ويمكن أن يتم ذلك بأمان من خلال الخضوع إلى جلسة واحدة إلى ثلاث جلسات علاجية بالليزر دون الشعور بأي آلام تُذكَر

أمّا بالنسبة لفعالية العلاج فما تزال هناك الحاجة للمزيد من الدراسات لإثبات ذلك

وعلى الرغم من ذلك فإنّ الدراسات الحالية تُشير إلى أنّ العلاج بالليزر

يُعدّ أقل فاعلية من العلاج بمضادات الفطريات الفموية أو العلاجات الموضعية

كما قد يكون العلاج بالليزر مكلفًا نتيجةً للحاجة إلى تكرار الجلسات أكثر من مرة لفترة زمنية تصل إلى سنة.

إزالة الظفر يمكن اللجوء لإزالة الظفر (بالإنجليزية Nail removal)٠٠

في حال معاناة المُصاب من ألم شديد أو في حال عدم استجابة المريض لأيٍّ من العلاجات الأخرى سابقة الذِّكر

حيث يُزيل الطبيب الظّفر المُصاب كاملاً ليسمح لظفر جديد سليم بالنمو

وقد يحتاج الظفر إلى أكثر من سنة لينمو كاملاً بعد إزالته، ويتم هذا الإجراء في المستشفى أو عيادة الطبيب

إمّا من خلال سكب الطبيب لمادة كيميائية قوية على الظفر أو عن طريق الجراحة

وفي كلتا الحالتين لا يحتاج المصاب للبقاء في المستشفى،

وتجدر الإشارة إلى أنّه في حال كانت العدوى الفطرية شديدة فإنّ التخلّص من العدوى قد يحتاج إلى فترة زمنية تتراوح بين عدة شهور إلى سنة.

نصائح للتعافي من فطريات الأظافر٠٠

إضافةً إلى استخدام العلاجات المناسبة، يوجد العديد من النصائح والإرشادات التي يمكن اتباعها للمساعدة على التغلب على فطريات الأظافر والحد من انتشارها

ومن هذه النصائح ما يأتي٠٠

تقليم الأظافر وبَرْدُ الأماكن السميكة منها

فذلك يقلل من الضغط على الظفر ويزيد من فرصة وصول الدواء إلى أماكن أكثر عُمقًا منه.

استخدام مقص أظافر خاصّ لتقليم الأظافر المُصابة.

ترطيب الأظافر بالكريمات التي تحتوي على اليوريا (بالإنجليزيةUrea) قبل تقليمها.

المحافظة على الأظافر قصيرة وعدم تطويلها.
تجفيف اليدين والقدمين وما بين الأصابع بشكل تامّ بعد الغسل.

ارتداء قفازات مضادّة للماء من أجل حماية أظافر اليدين عند العمل في بيئة رطبة في حال الإصابة بفطريات اليدين.

ارتداء أحذية ذات تهوية جيدة ومفتوحة من جهة الأصابع في حال الإصابة بفطريات القدمين.

ارتداء جوارب نظيفة وجافة فذلك يساعد على امتصاص الرطوبة خاصة في حال تعرّق القدمين الشديد.

عدم المشي حافي القدمين في غرف تغيير الملابس أو في حمامات السباحة.

استخدام المراهم والكريمات التي لا تحتاج لوصفة طبية لعلاج فطريات الأظافر

وفي حال ملاحظة ظهور علامات بيضاء على أسطح الأظافر؛ يمكن بَرْدُ الأظافر ونقعها في الماء

ومن ثمّ تجفيفها ووضع المستحضر الطبي عليها.

هل تعود الأظافر إلى طبيعتها بعد علاجها من الفطريات؟

يبدأ الأظفر الجديد بالنمو تدريجياً من قاعدة الأظفر كالمعتاد

ولكنّ عودة الأظفر لشكله الطبيعي قد يستغرق فترة طويلة تتراوح بين ستة أشهر إلى سنة من انتهاء العلاج

ويجدر بالذكر أنّه إذا كانت العدوى الفطرية في أظافر القدمين قد تستغرق وقتاً أطول يصل إلى سنةونصف بعد انتهاء العلاج الذي أوصى به الطبيب.

فطريات الرأس و علاجها٠٠

تُعرف فطريات الرأس علمياً باسم سَعْفَة الرَّأْس (بالإنجليزية: Tinea capitis)٠٠

وهي عدوى فطرية تصيب الشعر وفروة الرأس، مسبّبة أعراضاً وعلامات مختلفة إلا أنّ معظم الحالات تظهر عادة على شكل بقع متقشرة صلعاء
تنتشر على فروة الرأس وتسبّب الحكة.

وتُعتبر فطريات الرأس أكثر شيوعاً بين الأطفال الصغار وأطفال المدارس إذ إنّها عدوى سهلة الانتشار.

علاج فطريات الرأس٠٠

علاج فطريات الرأس بالأدوية الفموية يُمكن علاج سعفة الرأس باستخدام الأدوية المضادة للفطريات التي تؤخذ عن طريق الفم

ومن هذه الأدوية ما يلي٠٠

غريزيوفولفين: (بالإنجليزية: Griseofulvin) يُعدّ هذا الدواء الخيار الأول لعلاج سعفة الرأس، ويُستخدم لمدة تترواح بين 8-12 أسبوعاً

ويتوافر على شكل أقراص صلبة يمكن طحنها وخلطها مع القليل من الماء للأطفال غير القادرين على ابتلاعها إذا لزم الأمر.

ويُنصح بتناول هذه الدواء مع أطعمة غنية بالدهون مثل زبدة الفول السوداني أو الآيس كريم لتحسين امتصاص الدواء

ومن الآثار الجانبية لهذا الدواء الاسهال واضطرابات المعدة،

كما يمكن أن يسبّب الحساسية للشمس،
والتقيؤ، والإعياء، والدوخة، وصداع الرأس، والطفح الجلدي، والقشعريرة.

كما يمكن أن ينشأ عن تناوله رد فعل تحسسي لدى الأشخاص الذين لديهم حساسية من البنسلين

ومن الجدير بالذكر أنّه ينبغي على النساء في سن الإنجاب أن يتجنّبن الحمل خلال فترة العلاج ولمدة شهر كامل بعد استخدام الغريزوفولفين.

كما ينبغي أن يستخدم الرجال الواقيات الذكرية خلال فترة العلاج ولمدة ستة أشهر بعد انتهاء العلاج حيث إنّ الدواء قد يسبّب مشاكل مؤقتة في الحيوانات المنوية.

تيربينافين(بالإنجليزية: Terbinafine)٠٠

وهو دواء بديل للغريزوفولفين ويُستخدم لمدة أربعة أسابيع.

ومن الآثار الجانبية لهذا الدواء الإسهال واضطراب المعدة، كما يمكن أن يسبّب الحكة، والقشعريرة، والصداع

والحمى، وظهور الطفح الجلدي، وفي حالات نادرة يمكن أن يتسبّب بحدوث مشاكل في الكبد.

أدوية أخرى مثل الإيتراكونازول (بالإنجليزية: Itraconazole)
والفلوكونازول (بالإنجليزية: Fluconazole) التي تُستخدم في بعض الأحيان.

علاج فطريات الرأس بالأدوية الموضعية٠٠

يمكن الاستعانة بالعلاجات الموضعية مثل الكريمات والشامبو لعلاج سعفة الرأس بالإضافة إلى العلاجات الفموية

بهدف القضاء على الفطريات التي تنمو على فروة الرأس وتقليل احتمالية انتشار العدوى للآخرين.

ومن الجدير بالذكر أنّ الكريم أو الشامبو المضاد للفطريات لا يقضي على العدوى بشكل كامل

وذلك لأنّ الفطريات تغزو بنية الشعرة الداخلية
التي لا يُمكن للكريمات أو الشامبو الوصول إليها.

ويُنصح باستخدام الشامبو أو الكريم المضاد للفطريات مرتين في الأسبوع لبضعة أسابيع.

ومن الأمثلة على العلاجات الموضعية التي يمكن استخدامها٠٠

شامبو السيلينيوم (بالإنجليزية: Selenium shampoo)،

وشامبو الكيتوكونازول (بالإنجليزية: Ketoconazole shampoo) وكريم تيربينافين.

وممّا ينبغي التنويه إليه ضرورة ترك الشامبو على الشعر لمدة خمس دقائق قبل شطفه بالماء.

نصائح عامة للمصابين بفطريات الرأس٠٠

هناك العديد من النصائح التي يمكن تقديمها للمصابين بفطريات الرأس ومنها ما يلي٠٠

التخلص من الأدوات التي يمكن أن تكون ملوثة بالفطريات إذا كان ذلك ممكناً

أو تطهير تلك الأدوات باستخدام الكلور
ومن هذه الأدوات القبعات، والأمشاط، والوسائد، والبطانيات، والمقصات

بهدف منع الإصابة بالعدوى مرة أخرى بعد انتهاء العلاج ومنع انتقال العدوى للآخرين.

تجنب مشاركة المناشف، وغسل المناشف المستخدمة بشكل متكرر.

اتباع العلاج الموصى به للأطفال بعناية لضمان عدم انتقال العدوى إلى الآخرين

وتجدر الإشارة إلى عدم الحاجة لتغيّب الطفل عن المدرسة في حال اتباع تعليمات الطبيب.

مراقبة فروة الرأس للأطفال الآخرين في الأسرة
ومراجعة الطبيب عند ظهور أيّة علامات تدل على تساقط الشعر.

طلب المشورة من طبيب بيطري لعلاج الحيوانات الأليفة التي يُشتبه بأنّها مصدر العدوى الفطرية.

استخدام شامبو الشعر بانتظام، وغسل فروة الرأس بشكل جيد خاصة بعد قصّ الشعر.

المحافظة على النظافة، والتأكد من غسل اليدين عدة مرات لتجنب انتشار العدوى.

تجنب الحيوانات المصابة التي تظهر عليها علامات العدوى مثل ظهور رقعة من الجلد الخالي على فرائها.

تجنب مشاركة الأدوات الشخصية ينبغي تعليم الأطفال عدم السماح للآخرين باستخدام ملابسهم

أو مناشفهم، أو فرشاة شعرهم، أو الأشياء الشخصية الأخرى، أو استعارة الأغراض الشخصية من الأطفال الآخرين.

تشخيص فطريات الرأس٠٠

يتم تشخيص فطريات الرأس في الغالب بالاكتفاء بتفحّص الطبيب لفروة الرأس

وفي بعض الأحيان قد يستخدم الطبيب ضوءاً خاصاً يُوجّهه على فروة الرأس لتحديد علامات العدوى

ولتأكيد التشخيص قد يقوم الطبيب بكشط جزء من إحدى البقع المتقشرة في فروة الرأس، أو أخذ عينة من الشعر

وإرسال العينات إلى المختبر لتحديد وجود الفطريات من خلال النظر إليها وتفحصها تحت المجهر

ومن الجدير بالذكر أنّ نتيجة هذا الفحص قد تستغرق ثلاثة أسابيع.

مضاعفات فطريات الرأس إذا اشتدت الأعراض ولم يتلقَّ المصاب العلاج المناسب

فإنّه يصبح عرضة لظهور بعض الندب الدائمة، والبقع الصلعاء الدائمة على فروة الرأس.

وفي بعض الحالات يمكن أن تؤدي سعفة الرأس إلى التهاب حاد في موقع الإصابة يعرف باسم الشُهْدَة (بالإنجليزية kerion)

التي تظهر على شكل انتفاخات على سطح الجلد تتسبّب بظهور قشور سميكة صفراء اللون على فروة الرأس.

وفي بعض الحالات يمكن أن تتسبّب الشهدة
بتندّب فروة الرأس أو تساقط الشعر بشكل دائم.

كما يمكن أن يؤدي الالتهاب الناجم عن العدوى الفطرية في بعض الأحيان إلى الإصابة بعدوى بكتيرية ثانوية تستدعي العلاج بالمضادات الحيوية.

علاج الفطريات في الوجه٠٠

تُسمّى الفطريّات التي تظهر على البشرة بالنخالية المبرقشة أو السعفة المبرقشة (بالإنجليزيّة: Tinea Versicolor)

وعادةً ما يتسبّب بها نوع من الفطريّات التي تعيش بشكل طبيعي على الجلد

إلّا أنّه في بعض الحالات قد يتفاقم نموّ هذه الفطريّات بشكل غير طبيعيّ
مسبّباً هذا المرض الجلديّ الذي يظهر على شكل طفح غير معدٍ على الجلد.

وهنالك العديد من العوامل التي قد تحفّز تطوّر هذه الحالة٠٠

كطبيعة البشرة الدهنيّة، والمناخ الحارّ، وكثرة التعرّق، بالإضافة إلى ضعف الجهاز المناعيّ.

أمّا فطريّات الوجه، فتُسمّى بسعفة الوجه (بالإنجليزيّة: Tinea Faciei)

وقد تكون العدوى على شكل فطريّات بشريّة (بالإنجليزيّة: Anthropophilic Fungi)

مثل فطريّات الشعرويّة الحمراء (بالإنجليزيّة: Trichophyton Rubrum)

التي عادةً ما يكون سببها عدوى فطرية ناجمة عن سعفة القدم (بالإنجليزيّة: Tinea Pedis)

أو سعفة الأظافر (بالإنجليزيّة: Tinea Unguium).

كما قد تكون العدوى من فطريّات حيوانيّة (بالإنجليزيّة: Zoophillic Fungi)

من الكلاب، أو القطط، أو الماشية. وكثيراً ما يتم تشخيص فطريّات الوجه بشكل خاطئ

فقد يتم تشخيصها على أنّها التهاب في الجلد، أو إصابة بالصدفيّة

أو ورديّة الوجه، وغير ذلك من الحالات.

وتجدر الإشارة إلى أنّ التشخيص الصحيح لهذه الفطريّات يتم عن طريق الفحص المايكروسكوبي
وعمل زراعة لجزء من نسيج الجلد.

علاج فطريّات الوجه٠٠

يجب على المريض أخذ الحذر دائماً عند المعالجة الدوائيّة لفطريّات الوجه، حيثُ إنّ الوجه عادةً ما يكون أكثر حساسيّة من أجزاء الجسم الأخرى.

وتجدر الإشارة إلى أنّ معالجة فطريّات الوجه غالباً ما تكون أمراً بسيط

العلاجات الدوائيّة فيما يأتي بيان لبعض العلاجات الدوائية المستخدمة في علاج الفطريات٠٠

الكريم المضاد للفطريّات (بالإنجليزيّة: Anti-Fungal Creams)

عادةً ما يحتوي هذا النوع من العلاج على المادّة الفعّالة كلوتريمازول (بالإنجليزيّة: Clotrimazole)

وتُستخدم هذه الكريمات غالباً مرّتين في اليوم على المنطقة المصابة لمدّة تتراوح ما بين 2-4 أسابيع.

وتجدر الإشارة إلى أنّ استخدام هذه الكريمات يجب أن يستمر لمدّة أسبوع على الأقل بعد اختفاء الطفح الجلدى٠

اللوشن المضاد للفطريّات: (بالإنجليزيّة: Anti-Fungal Lotions)٠٠

الذي عادةً ما يحتوي على التولنافتيت (بالإنجليزيّة: Tolnaftate) كمادّة فعّالة.

ويتم تطبيق اللوشن المضاد للفطريّات على الطفح الجلديّ بطريقة مماثلة لاستخدام الكريم كما ذُكر سابقاً.

مضاد الفطريّات المأخوذ بالفم: (بالإنجليزيّة: Oral Antifungal)

يتم اللجوء إلى هذا النوع من مضادّات الفطريّات في بعض الحالات؛منها٠٠

أن يكون الطفح شديداً وواسع الانتشار، أو مقاوماً للعلاجات الموضعيّة

أو في حال كان الطفح على مناطق مغطاة بالشعر؛ كسعفة الرأس (بالإنجليزيّة: Tinea Capitis)
أو سعفة اللحية (بالإنجليزيّة: Tinea Barbae).

الكريمات الكورتيكوستيرويدية:

ومن الأمثلة عليها كريم الهيدروكورتيزون (بالإنجليزيّة: Hydrocortisone)

وتجدر الإشارة إلى أنّ كريمات الستيرويد لا تُستخدم وحدها، بل تُضاف للعلاجات المضادّة للفطريّات.

العلاجات المنزليّة٠٠

في حال كان المصاب يٌفضّل استخدام منتجات طبيعيّة منزليّة في علاج فطريّات الوجه

فهناك العديد من العلاجات المنزليّة التي قد تخفف من الأعراض، وفيما يأتي بعض أمثلتها٠٠

زيت جوز الهند: (بالإنجليزيّة: Coconut Oil)
من المعروف عن زيت جوز الهند قدرته على التخفيف من العديد من حالات الجلد المرضيّة لما له من خصائص شفائيّة، بالإضافة لميّزته في ترطيب البشرة.

زيت شجرة الشاي: (بالإنجليزيّة: Tea Tree Oil)
يمكن استخدام هذا الزيت بطريقة مباشرة على البشرة

أو عن طريق خلطه مع اللوشن العلاجي للمساعدة على التخفيف من طفح العدوى الفطريّة.

زيت الزيتون المعالج بالأوزون: (بالإنجليزيّة: Ozonated Olive Oil)

يحتوي هذا النوع من زيت الزيتون على خاصيّة مقاومة الفطريّات
وبالتالي يساعد على تخفيف العدوى
بالإضافة لقدرته على تنعيم البشرة.

عوامل الخطر للإصابة بالفطريّات٠٠

توجد الفطريّات في كل مكان في البيئة المحيطة، وهنالك الملايين من أصناف الفطريات
والتي تمّ تحديد 300 صنف ممرض من بينها.

وعادةً ما تتسبّب بالعدوى فطريّات ميكروسكوبيّة موجودة بكثرة حولنا.

ولذلك كلّما زادت المعرفة حول العدوى الفطريّة واحتماليّة الإصابة بها

كان هناك قدرة أكبر على اتّخاذ أساليب الوقاية والحماية منها. وفيما يأتي بيان لبعض عوامل الخطر التي قد تساهم في الإصابة بالعدوى الفطريّة بشكل عام:

مكان السّكن والسّفر٠٠

حيثُ إنّ بعض المناطق تتوافر فيها أصناف من الفطريّات المُمرضة بشكل يفوق وجودها بأماكن أخرى.

الأنشطة والهوايات٠٠

عادة ما توجد الفطريّات الممرضة في الهواء، والغبار، والتربة

وبالتالي فبعض الأنشطة كالحَفر، والبستنة، وزيارة الكهوف قد تؤدّي إلى استنشاق الهواء او الغبار الذى

يحتوي على هذه الفطريّات. الحيوانات الأليفة٠٠

فقد تحمل القطط والكلاب فطريّات ممرضة تُسمّى بالقوباء الحلقيّة (بالإنجليزيّة: Ringworm Fungi).

المضادّات الحيويّة٠٠

بيّنت بعض الدراسات أنّ استخدام المضادّات الحيويّة قد يجعل المرأة أكثر عرضة لعدوى الفطريّات المهبليّة.

كما أنّه من الممكن إصابة الرجل أيضاً بالعدوى التناسليّة.

الأدوية المثبّطة للمناعة٠٠

بعض الأدوية قد تضعف عمل جهاز المناعة وبالتالي تجعل الجسم أكثر عرضة للإصابة بالعدوى الفطريّة

ومنها الأدوية المستخدمة في علاج الروماتيزم ومرض الذئبة.

علاج السرطان٠٠

قد يؤدّي العلاج الكيماوي أو العلاج الإشعاعي لمرضى السرطان إلى إضعاف جهازهم المناعي

وبالتّالي يزيد احتماليّة إصابتهم بالعدوى.

دخول المستشفى٠٠

من أكثر أنواع العدوى انتشاراً بين نزلاء المستشفى هي العدوى بنوع من أنوع الفطريّات تُعرف بالمبيضات (بالإنجليزيّة: Candida)،

حيثُ إنّ المبيضات عادة ما تعيش بشكل طبيعيّ في الجهاز الهضميّ والجلد

إلّا أنّها من الممكن أن تصل إلى الدّم خلال فترة الإقامة في المستشفى وتسبّب العدوى.

إجراءات الوقاية من الفطريات هنالك العديد من الإجراءات التي يمكن القيام بها لتقليل خطر الإصابة بالعدوى الفطريّة بشكل عام
والحدّ من انتشارها إن وُجدت

وفيما يأتي ذكر لأهم الإجرءات التي تخصّ الوقاية من العدوى الفطريّة للجلد٠٠

تجفيف البشرة بشكل جيّد بعد الاغتسال أو الاستحمام.

غسل الملابس وملاءات السرير بشكل مستمر.

ارتداء حذاء عند المشي في الأماكن العامّة٠٠

كأماكن السباحة، والاستحمام، والساونا، وغيرها.

اختيار الملابس الواسعة، والمصنوعة من أقمشة تمنع رطوبة البشرة؛ كالألبسة المصنوعة من القطن.

تجنّب مشاركة الآخرين أدواتهم الشخصية والتي من الممكن أن تحمل فطريّات

كالمناشف وفرشاة الشعر. الابتعاد عن ارتداء نفس الحذاء لأيّام متعدّدة على التوالي

وفي حال وجود فرد من العائلة مصاب بالفطريّات، فيجب نقع أشيائه التي قد تنقل العدوى بالماء والمبيّض.

ظهور بقع بيضاء على الجلد٠٠

تتعرّض بشرة الإنسان للعديد من المشاكل، مثل٠٠

ظهور البقع البيضاء على الجلد، والتي تكون ناتجة في أغلب الأوقات عن فقد الصبغة الموجودة في البشرة

وقد يكون من المُقلق ملاحظة بعض التغيرات في لون الجلد
وذلك لأنّ سرطان الجلد هو أمر شائع الحدوث

ولكنّ ظهور البقع البيضاء على جلد الوجه، أو الأيدي
أو على مناطق أخرى من البشرة غالباً ما يرتبط بحالات ومشاكل جلدية أخرى

وفي العادة لا تكون هذه الحالات مثيرة للقلق كما يظنّ الكثيرون

وينبغي التنويه إلى ضرورة الذّهاب إلى طبيب الأمراض الجلدية في حال استمرار ظهور بقع بيضاء إضافية على مناطق أخرى من الجسم
أو في حال زيادة حجم البقع الموجودة.

أسباب البُقع البيضاء على الجلد٠٠

تجدر الإشارة إلى هناك العديد من المشاكل الصحية والعوامل التي قد تتسبّب بظهور بقع بيضاء على الجلد في مناطق الجسم المختلفة، ومن الأسباب الشائعة

التي تؤدّي إلى ظهور بقع بيضاء على الجلد ما يأتي٠٠

بقع الشمس أو نقص الملانين المنقط: (بالإنجليزية: Guttate hypomelanosis)

وتمثّل بقع الشمس بقعاً بيضاء تنتج عن فقدان صبغة الميلانين (بالإنجليزية: Melanin) في أماكن ظهورها

وفي العادة لا تتسبّب هذه البقع في ظهور أيّ أعراض
ولا تُسبب أيّ ضرر على الشخص
ويتراوح حجمها بين 1-3 ملم تقريباً

وغالباً ما تكون بداية ظهورها على الأرجل
ثمّ تنتشر فيما بعد لتظهر على الأيدي، والظهر، والوجه،

وتجدر الإشارة إلى أنّ ظهور البقع الشمسية قد يكون وراثياً، كما أنّ بقع الشمس تظهر في العادة بعد سنّ الأربعين.

النخالية المبرقشة(بالإنجليزية: Pityriasis Versicolor)٠٠

وتُسمى أيضاً بالسعفة المبرقشة (بالإنجليزية: Tinea Versicolor)

ويُعاني الأشخاص المُصابون بهذه الحالة من نموّ الفطريات الموجودة على البشرة بشكل خارج عن السيطرة

وتتسبّب هذه الفطريات بظهور بقع جافة، ومتقشّرة، ومثيرة للحكة

بحيث تكون أفتح أو أغمق من الجلد المُحيط بها
وهنا نُشير إلى أنّ هذه البقع تنمو بشكل بطيء، وفي العادة تتجمّع حول بعضها البعض،

وتُعدّ الإصابة بالنخالية المبرقشة شائعة وواسعة الانتشار، وفي الغالب تكون أعراضها أكثر وضوحاً في البيئات الدافئة والرطبة.

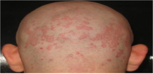
مرض النخالية البيضاء: (بالإنجليزية: Pityriasis Alba)

إنّ مرض النخالية البيضاء من الأمراض شائعة الانتشار، وهو حالة جلدية غير سرطانية تُسبب ظهور بقع حمراء
ومتقشّرة، ومثيرة للحكة

وفي النهاية فإنّ هذه البقع تشفى وتترك أثراً على شكل بقع بيضاء فاتحة

ومن الجدير بالذكر أنّ مرض النخالية البيضاء يحدث عند الأطفال الذين تتراوح أعمارهم ما بين سنّ 3-16 سنة

وفي العادة تُصيب النخالية البيضاء منطقة الوجه
وقد تُصيب أيضاً منطقة الرقبة، والأكتاف، والأيدي

وتجدر الإشارة إلى أنّ الباحثين لم يتوصلوا إلى العامل المُسبب الدقيق لحدوث النخالية البيضاء،
لكنّهم يعتقدون بأنّها نوع من الأنواع الخفيفة للإكزيما.

ظهور بقع حمراء على الجلد بدون حكة٠٠

تتنوّع المشاكل الجلدية وتتعدّد أسبابها في عالم الإنسان، ولعلّ من أكثر المشاكل شيوعاً هو ظهور بقع حمراء على الجلد

ويُطلق على حالة احمرار الجلد طبيّاً مصطلح الحُمامى (بالإنجليزيّة: Erythema)

ملخص التقرير٠٠

توجد العديد من الأمراض التي قد تُصيب الجلد، والتي قد يكون بعضها مؤقتًا

بينما بعضها الآخر مزمنًا ويستمرّ لفترات طويلة، وقد تكون بعض هذه الأمراض شائعة بين فئات عمريّة معينة دون غيرها

وبكل الأحوال، يوصى دائمًا بمراجعة الطبيب المختصّ من أجل تشخيص حالة المصاب وتحديد نوع المرض الجلدي الذي يعانيه، وإيجاد العلاج المناسب له.